キービジュアル

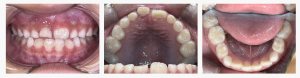
【上顎前突】早期矯正|10歳8か月男児|治療期間24…

みなさんこんにちは。 兵庫県明石市魚住町、西江井ヶ島駅から徒歩6分、 こどもの矯正に強い明石市の歯医者、ハローこどもファミリー歯科です。 今回は、「上の前歯が出ているのが気になる」 という保護者の方のご相談をきっかけにスタートした、 10歳8か月の男の子の上顎前突(じょうがくぜんとつ)…

2026.1.27

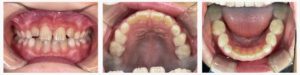
【叢生】早期矯正|5歳女児|治療期間24ヶ月

みなさんこんにちは。 兵庫県明石市魚住町、西江井ヶ島駅から徒歩6分、 こどもの矯正に強い明石市の歯医者、ハローこどもファミリー歯科です。 今回は、 「このまま永久歯がきれいに並ぶのか心配で…」 というご相談をきっかけにスタートした、5歳女の子の叢生(そうせい)早期矯正症例をご紹介します…

2026.1.27

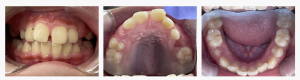
【反対咬合】早期矯正|7歳男児|治療期間24ヶ月

みなさんこんにちは。 兵庫県明石市魚住町、西江井ヶ島駅から徒歩6分、こどもの矯正に強い歯医者「ハローこどもファミリー歯科」です。 今回は、学校検診をきっかけに来院された【7歳男児の反対咬合(受け口)】の症例をご紹介します。 成長期のあごの発育を最大限に活かし、マイオブレイスを使用して改…

2026.1.9

【叢生】早期矯正|7歳女児|治療期間24ヶ月

みなさんこんにちは。 兵庫県明石市魚住町、西江井ヶ島駅から徒歩6分、こどもの矯正に強い明石市の歯医者 ハローこどもファミリー歯科です。 今回は、「歯並びがガタガタしてきた」とのことでご相談いただいた、7歳の女の子の 【叢生(そうせい)】の症例をご紹介します。  …

2026.1.9

【過蓋咬合】早期矯正|7歳男児|治療期間24ヶ月

みなさんこんにちは☺ 兵庫県明石市魚住町、西江井ヶ島駅から徒歩6分、こどもの矯正に強い明石市の歯医者 ハローこどもファミリー歯科です。 今回は、「歯並びがガタガタしてきた」とのことでご相談いただいた7歳の男の子の 【過蓋咬合】(かがいこうごう)の症例をご紹介します。 &nb…

2025.12.26

【叢生・上顎前突】矯正|11歳男児|治療期間24ヶ月

みなさんこんにちは。 兵庫県明石市魚住町、西江井ヶ島駅から徒歩6分、こどもの矯正に強い明石市の歯医者、 ハローこどもファミリー歯科です。 今回は、メンテナンスで通院されていた歯科医院で 「そろそろ歯並びを見てもらった方がいいかも」 と声をかけられたことをきっかけに当院へ相談に…

2025.12.26

【叢生】早期矯正|6歳女児|治療期間24ヶ月

みなさんこんにちは。 兵庫県明石市魚住町、西江井ヶ島駅から徒歩6分、こどもの矯正に強い明石市の歯医者、 ハローこどもファミリー歯科です。 今回は、「これからの歯並びが心配」と来院された 6歳女児・叢生(ガタガタ) に対する早期矯正治療をご紹介します。 歯がきれいに並ぶためには “…

2025.12.26

【前突】早期矯正|8歳女児|治療期間24ヶ月

みなさんこんにちは☺ 兵庫県明石市魚住町、西江井ヶ島駅から徒歩6分、こどもの矯正に強い明石市の歯医者 ハローこどもファミリー歯科です。 今回は、「検診で出っ歯気味と指摘された」とのことでご相談いただいた、8歳女児の 【前突(ぜんとつ)】の症例をご紹介します。   …

2025.12.4

【反対咬合】早期矯正|7歳女児|治療期間24ヶ月

みなさんこんにちは。 兵庫県明石市魚住町、西江井ヶ島駅から徒歩6分、こどもの矯正に強い明石市の歯医者、 ハローこどもファミリー歯科です。 今回は、「受け口(反対咬合)」を心配して来院された7歳の女の子の症例をご紹介します。   ■ 来院のきっかけと初診時の様子 …

2025.12.4

「子供の矯正治療ブログ」を新設いたしました

「子供の矯正治療ブログ」を新設いたしました。 今後ともよろしくお願いいたします。

2025.11.17

初診「個別」相談へのご案内

当院では、患者さんが抱えていらっしゃるお口のお悩みや疑問・不安などにお応えする機会を設けております。どんなことでも構いませんので、私たちにお話ししていただけたらと思います。
ご興味がある方は下記からお問い合わせください。

お電話でのご予約・お問い合わせ

050-1722-9248

こどもの歯並び相談 24時間WEB予約

〒674-0072
兵庫県明石市魚住町長坂寺287-3