キービジュアル

【叢生】早期矯正|7歳女児|治療期間24ヶ月

2026年1月9日

みなさんこんにちは。

兵庫県明石市魚住町、西江井ヶ島駅から徒歩6分、こどもの矯正に強い明石市の歯医者

ハローこどもファミリー歯科です。

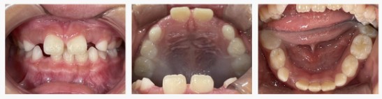
今回は、「歯並びがガタガタしてきた」とのことでご相談いただいた、7歳の女の子の

【叢生(そうせい)】の症例をご紹介します。

 

■ 来院のきっかけと初診時の様子

お母さまから「きれいに並ぶか心配」とご相談がありました。
診察してみると、あごの成長に対して歯の大きさがやや大きく、**叢生(歯のガタガタ・重なり)**の傾向が見られました。

混合歯列期(乳歯と永久歯が混在する時期)は、あごの成長を誘導できる貴重なタイミング。
この時期に正しい呼吸や舌の使い方を整えることで、永久歯が自然にきれいに並ぶスペースを確保することができます。

 

■ 診断・治療方針

診断名は【叢生】
永久歯が並ぶスペースをあごの成長によって確保するため、**マイオブレイス(筋機能矯正装置)**を使用しました。

マイオブレイスは、装置を口に入れるだけでなく、舌・唇・頬の筋肉をトレーニングすることで、

歯並びを乱す原因そのものを改善していく治療法です。
お子さま自身の成長力を活かして、自然な歯列を目指しました。

 

■ 治療の流れと使用装置

【治療期間】

2023年9月〜2025年9月(約24ヶ月)

1.マイオブレイス装着開始
 初期は夜間と日中1時間の装着を習慣化。装置の扱いに慣れることからスタートしました。
2.口腔筋トレーニング
 舌を正しい位置に置く練習、鼻呼吸の習慣化、唇を閉じるトレーニングなどを定期的に指導。
3.定期観察と調整
 1ヶ月ごとの定期観察で、歯の萌出状況と筋機能のバランスを確認しました。

 

▼Before(治療前)

 

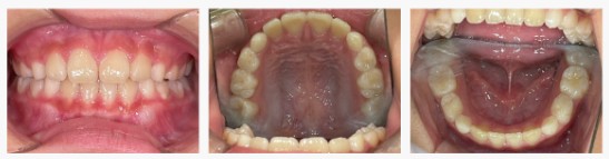
▼After(治療後)

 

 

■ 治療の結果

治療を進めるうちに、舌の位置と呼吸の仕方が安定し、あごの幅が自然に広がってきました。
その結果、前歯の重なりが軽減し、歯列がきれいなアーチ状に整いました。
お子さまご自身も「歯がきれいに並んできた!」と嬉しそうに鏡を見てくれるようになり、笑顔も増えました。

また、姿勢や口呼吸の改善も見られ、全身の成長にも良い影響が確認できました。

 

■ 担当医コメント(監修:院長 岨 卓与)

叢生(歯のガタガタ)は、歯が大きすぎるのではなく、

あごの成長バランスや筋肉の使い方に原因があることが多いです。
マイオブレースのような「成長誘導型矯正」は、装置に頼るだけでなく、

呼吸や姿勢といった根本的な習慣の改善を目指せるのが特徴です。
今回のお子さまも、ご家庭での装置装着とトレーニングを丁寧に続けてくださったことで、

非常に良い結果につながりました。

 

■ 保護者の方へ

お子さまの歯並びが少しでも気になる場合は、「まだ早いかな」と思わずに一度ご相談ください。
混合歯列期の早期矯正は、永久歯が生えそろう前にスペースを確保し、抜歯せずに整えるチャンスです。
当院では、成長段階や生活習慣に合わせた無理のない治療を行っています。

 

■ 副作用・リスクについて

装置の装着による違和感、顎関節の痛み、歯根吸収、後戻りの可能性などがあります。
定期的な来院と正しい使用で、これらのリスクを最小限に抑えることが可能です。

 

■ 費用

こどもの矯正:527,780円(税込・7歳以下スタートの場合)

 

■ 監修医・医院情報

監修/院長:岨 卓与(そわ たくよ)
ハローこどもファミリー歯科
〒674-0074
兵庫県明石市魚住町長坂寺287-3(ハローズ魚住店の敷地内)
山陽電鉄「西江井ヶ島駅」徒歩6分

診療科目:小児歯科・小児矯正・親子予防歯科・口腔外科

👉 ハローこどもファミリー歯科 Web予約(Apotool & Box for Dentist)

ox for Dentist)

初診「個別」相談へのご案内

当院では、患者さんが抱えていらっしゃるお口のお悩みや疑問・不安などにお応えする機会を設けております。どんなことでも構いませんので、私たちにお話ししていただけたらと思います。
ご興味がある方は下記からお問い合わせください。

お電話でのご予約・お問い合わせ

050-1722-9248

こどもの歯並び相談 24時間WEB予約

〒674-0072
兵庫県明石市魚住町長坂寺287-3