キービジュアル

【過蓋咬合】早期矯正|7歳男児|治療期間24ヶ月

2025年12月26日

みなさんこんにちは☺
兵庫県明石市魚住町、西江井ヶ島駅から徒歩6分、こどもの矯正に強い明石市の歯医者

ハローこどもファミリー歯科です。

今回は、「歯並びがガタガタしてきた」とのことでご相談いただいた7歳の男の子の

【過蓋咬合】(かがいこうごう)の症例をご紹介します。

 

■ 来院のきっかけと初診時の様子

お母さまから「顎が小さくて、下の歯がほとんど見えない」とご相談をいただきました。
診察の結果、上の前歯が下の歯を深く覆っている【過蓋咬合(ディープバイト)】の状態でした。

このようなタイプの咬み合わせは、早期に介入することで顎の成長や筋肉バランスを整えやすくなるため、

当院では早期矯正治療をおすすめしました。

 

■ 診断・治療方針

診断名は【過蓋咬合】
成長期を利用してあごのバランスを改善するために

拡大床(かくだいしょう)で上あごの成長を促す
マイオブレイスで舌・口唇・頬などの筋肉の正しい使い方をトレーニング

 

という二段階の治療を行いました。
成長に合わせてあごの位置と筋肉のバランスを整えることで、過蓋咬合の根本的な改善を目指しました。

 

■ 治療の流れと使用装置

【治療期間】

2023年9月〜2025年9月(約24ヶ月)

①拡大床による上顎の発育誘導
 上あごを少しずつ広げることで、咬み合わせの深さを緩和。
 また、永久歯が並ぶスペースを確保しました。
②マイオブレイスでの筋機能訓練
 日常生活の中で、口呼吸の改善・舌の正しい位置・唇を閉じる力を養いました。
 これにより、自然な口元のバランスを保ちながら過蓋咬合を改善していきました。

 

 

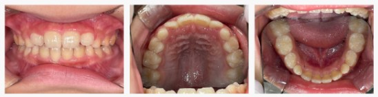
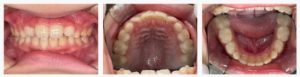
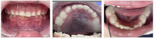
▼Before(治療前)

 

 

▼After(治療後)

 

 

■ 治療の結果

24ヶ月の治療を経て、上下の歯の咬み合わせが正常に近い位置まで改善しました。
下の前歯も見えるようになり、笑顔の印象が明るくなりました。
また、あごの動きがスムーズになり、食事中の「噛みにくさ」も軽減。
お子さんご自身も「歯がきれいになってきた!」と嬉しそうに話してくれるようになりました。

 

■ 担当医コメント(監修:院長 岨 卓与)

過蓋咬合は見た目だけでなく、あごの成長方向や歯ぐきへの負担にも関係します。
特に成長期のお子さんでは、あごの位置を整えるタイミングを逃さないことが重要です。
今回のケースでは、拡大床とマイオブレイスを併用することで、あごの発育と筋機能の両面から改善ができました。
ご家庭での装置管理やトレーニングの継続にご協力いただけたことが、良好な結果につながりました。

 

■ 保護者の方へ

過蓋咬合は放置すると、あごの関節や歯ぐきに負担がかかることがあります。
しかし、5~7歳で治療を始めることで、自然な成長力を活かして改善できる可能性が高まります。
「噛み合わせが深い」「下の歯が見えにくい」などの症状が気になる方は、ぜひ早めにご相談ください。

 

■ 副作用・リスクについて

装置の装着による違和感、顎関節の痛み、歯根吸収、後戻りの可能性などがあります。
定期的な来院と正しい使用で、これらのリスクを最小限に抑えることが可能です。

 

■ 費用

こどもの矯正:527,780円(税込・7歳以下スタートの場合)

 

■ 監修医・医院情報

監修/院長:岨 卓与(そわ たくよ)
ハローこどもファミリー歯科
〒674-0074
兵庫県明石市魚住町長坂寺287-3(ハローズ魚住店の敷地内)
山陽電鉄「西江井ヶ島駅」徒歩6分

診療科目:小児歯科・小児矯正・親子予防歯科・口腔外科

👉 ハローこどもファミリー歯科 Web予約(Apotool & Box for Dentist)

 

カテゴリー: 小児矯正 / 予防歯科 / こども矯正
メタディスクリプション:
兵庫県明石市のハローこどもファミリー歯科による【過蓋咬合】早期矯正症例。

マイオブレイスを併用し、成長期のあごの発育を活かして過蓋咬合を改善。

7歳男児・治療期間24ヶ月の症例経過を紹介。

初診「個別」相談へのご案内

当院では、患者さんが抱えていらっしゃるお口のお悩みや疑問・不安などにお応えする機会を設けております。どんなことでも構いませんので、私たちにお話ししていただけたらと思います。
ご興味がある方は下記からお問い合わせください。

お電話でのご予約・お問い合わせ

050-1722-9248

こどもの歯並び相談 24時間WEB予約

〒674-0072
兵庫県明石市魚住町長坂寺287-3