キービジュアル

【叢生】早期矯正|5歳女児|治療期間24ヶ月

2026年1月27日

みなさんこんにちは。
兵庫県明石市魚住町、西江井ヶ島駅から徒歩6分、
こどもの矯正に強い明石市の歯医者、ハローこどもファミリー歯科です。

今回は、
「このまま永久歯がきれいに並ぶのか心配で…」
というご相談をきっかけにスタートした、5歳女の子の叢生(そうせい)早期矯正症例をご紹介します。

 

■来院のきっかけ・初診時の状態

仕上げ磨きの際に、
「下の前歯が重なってきている気がする」
「上下ともに顎が小さく、このままだと歯が並ばないのでは」
と感じられ、ご来院されました。

 

初診時の状態

・下顎左右1番に叢生(前歯のガタガタ)を認める

・上下顎ともに小さく、歯が並ぶスペースが不足

・乳歯列期ではあるが、将来的な叢生悪化が強く予測される状態

「今は小さいけれど、成長とともに歯並びがさらに乱れる可能性が高い」と判断しました。

 

■診断名・初診時の状態

診断名:叢生(そうせい)

初診時の診察では、

・顎の大きさに対して歯が並ぶスペースが不足

・下顎前歯部にすでにガタガタが出現

・今後、永久歯が生えそろうにつれて叢生が悪化するリスク

などの所見があり、顎の成長不足と歯列不調和が組み合わさった状態でした。

 

■治療内容:上顎拡大床+トレーナー

今回の治療では、

・上顎拡大床で歯が並ぶための土台づくり

・トレーナーで舌・唇・頬の筋肉バランスを整える

という、成長期を活かした早期矯正を行いました。

5歳から治療を開始することで、

・永久歯が自然に並ぶスペースの確保

・舌の正しい位置づけ

・口周りの筋機能の改善

・将来的な抜歯・本格矯正のリスク軽減

を目指しました。

 

■ 治療の流れ(約24ヶ月)

【治療期間】

2023年10月~2025年10月(約24ヶ月)
※基本的に月1回の通院で経過を確認しました。

 

① 上顎拡大床の装着

まずは上顎を少しずつ拡げ、
永久歯が並ぶためのスペースを確保していきました。

 

② トレーナーの使用開始

トレーナーを併用し、

・舌の正しい位置

・お口を閉じる力

・口呼吸の予防

をトレーニングしました。

 

③ 定期的なチェックと調整

毎月の来院で、

・拡大の進み具合

・装置の使用状況

・成長の方向性

を丁寧に確認しました。

 

④ 成長に合わせた微調整

歯の生え変わりや顎の成長に合わせ、
無理のないペースで治療を継続しました。

 

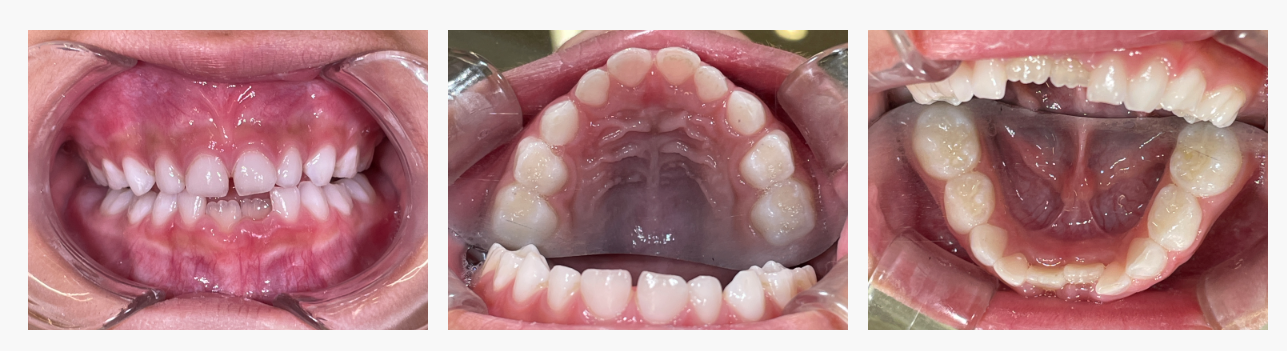
▼ Before(治療前)

 

▼ After(治療後)

 

■治療の結果

成長期の顎の発育を活かすことで、

・下顎前歯のガタガタが改善

・歯が並ぶスペースをしっかり確保

・将来的に歯並びが安定しやすい状態

をつくることができました。

歯を無理に動かさず、成長力を味方につけた小児矯正ならではの結果です。

 

■ 担当医コメント(監修:院長 岨 卓与)

5歳という早い時期から治療を始められたことが、今回の大きなポイントです。
この時期に顎の成長方向や筋機能を整えることで、
将来の矯正負担を大きく減らすことができます。

歯並びは、
成長・癖・呼吸・舌・姿勢
と密接に関係しています。
早期から整えることが、長期的な安定につながります。

 

■ 保護者の方へ

「まだ小さいから様子を見た方がいいのでは?」
と迷われる方も多いですが、
小さい今だからこそできる矯正があります。

お子さまの成長に寄り添いながら進めていきますので、
どうぞ安心してご相談ください。

 

■費用

こどもの矯正(7歳以下):527,780円(税込)
※装置代・調整料を含みます
※装置の紛失・破損時は別途費用が発生する場合があります

 

■副作用・リスク

装置の違和感/装着時間不足による効果減弱/成長差による治療期間の変動 などがあります。
気になる症状があれば、いつでもご相談ください。

 

■オンライン予約

24時間いつでもWeb予約が可能です。
👉 https://reservation.stransa.co.jp/1c656ed176dfb196b99ff1ec55f9d609/reserve/select-menu

カテゴリー小児矯正 / 予防歯科 / こども矯正

メタディスクリプション:
兵庫県明石市のハローこどもファミリー歯科による【叢生】早期矯正症例。上顎拡大床とトレーナーを使用し、成長期を活かして叢生を改善。5歳女児、治療期間24ヶ月の治療経過を紹介。

 

初診「個別」相談へのご案内

当院では、患者さんが抱えていらっしゃるお口のお悩みや疑問・不安などにお応えする機会を設けております。どんなことでも構いませんので、私たちにお話ししていただけたらと思います。
ご興味がある方は下記からお問い合わせください。

お電話でのご予約・お問い合わせ

050-1722-9248

こどもの歯並び相談 24時間WEB予約

〒674-0072
兵庫県明石市魚住町長坂寺287-3