キービジュアル

【反対咬合】早期矯正|7歳男児|治療期間24ヶ月

2026年1月9日

みなさんこんにちは。
兵庫県明石市魚住町、西江井ヶ島駅から徒歩6分、こどもの矯正に強い歯医者「ハローこどもファミリー歯科」です。

今回は、学校検診をきっかけに来院された【7歳男児の反対咬合(受け口)】の症例をご紹介します。
成長期のあごの発育を最大限に活かし、マイオブレイスを使用して改善したケースです。

 

■ 診断名

反対咬合(受け口)

 

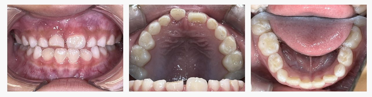
■ 主訴と初診時の状態

保護者の方より、「学校の歯科検診で受け口の疑いと言われた」とのことで来院されました。

 

初診時には、

・上下の前歯が反対に噛んでいる
・舌の位置が低く、口呼吸の傾向
・混合歯列期で、あごの成長を活かしやすい時期

 

反対咬合は、上あごの成長不足につながり、見た目・咀嚼・発音・顔つきにも影響が出る可能性があります。
7歳というタイミングは、早期介入で効果が出るギリギリの年齢でした。

 

■ 治療内容

採用した治療:マイオブレイス(筋機能矯正装置)

マイオブレイスは、歯並びを乱す原因である 呼吸・舌の位置・飲み込み・姿勢 を改善する治療です。

 

特に反対咬合改善では、

・正しい舌の位置づけ
鼻呼吸の習慣づけ
・口周りの筋肉のバランス改善
・成長を利用した上あごの前方発育サポート

が重要なポイントになります。

 

 

 

■ 治療期間

2023年9月〜2025年9月(24ヶ月)

 

▼ Before(治療前)

 

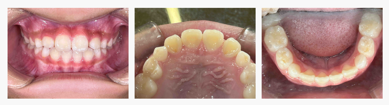
▼ After(治療後)

 

 

24ヶ月で、自然な噛み合わせとバランスの良い口元へ改善しました。

 

■ 治療の流れ・使用装置

【治療期間】2023年9月〜2025年9月(24ヶ月)

 

 ① マイオブレイス開始

 日中1時間・就寝時の装着を行いながら、

 ・鼻呼吸の獲得
 ・舌の正しい位置づけ
 ・唇を閉じる力
 など、筋機能のトレーニングを継続して行いました。

 

 

 ② 成長を利用した上あごの発育誘導

 舌が上あごに正しく当たるようになり、上あごが自然に広がることで、前歯の噛み合わせが徐々に整っていきました。

 

 ③ 経過観察と噛み合わせの安定化

 毎月の来院で装置の使用状況や筋機能を確認し、成長に合わせて治療を調整。
 治療後半は、後戻りを防ぐために咀嚼指導や姿勢改善にも取り組みました。

 

■ 治療結果

・反対咬合が改善し、自然な噛み合わせに
上あごの成長が進み、横幅・前後バランスが整った
・呼吸が安定し、口がポカンと開く癖が減少
・発音が明瞭になりやすい環境に改善
・お子さま自身が前向きに治療へ取り組めた

 

筋機能(舌・呼吸・姿勢)の改善が、噛み合わせの変化へしっかりつながった良い経過でした。

 

■ 費用

こどもの矯正:527,780円(税込)※7歳以下スタートの場合

 

■ 副作用・リスク

・装置の違和感
顎関節への負担
・歯根吸収
後戻りの可能性(習慣改善が不十分な場合)

 

 

■ 担当医コメント

反対咬合は「永久歯が生えてから」でよいと思われがちですが、実際は5~7歳での治療開始が最も効果的です。

あごの成長が旺盛な時期に、呼吸や舌の位置を整えることで、骨格のゆがみを予防しながら改善できます。
今回のお子さまはトレーニングをしっかり続けてくださり、それが成功の大きな要因でした。

ご家庭でのサポートにも心より感謝申し上げます。

 

■ 保護者の方へ

受け口は、食べ方・話し方・姿勢・集中力などにも影響することがあります。

ただし、早期介入することで改善の幅が大きく、成長を味方にした治療が可能です。

「気になるけど様子を見ていいのかな?」
「学校検診で受け口と言われた…」

そんな時は、どうぞお気軽にご相談ください。
早期の一歩が、お子さまの健やかな未来につながります。

 

■ 監修医

監修/院長: 岨 卓与(そわ たくよ)

 

■ 医院情報

ハローこどもファミリー歯科
兵庫県明石市魚住町長坂寺287-3(ハローズ魚住店 敷地内)
山陽電鉄 西江井ヶ島駅 徒歩6分
診療科目:小児歯科/小児矯正/親子予防歯科/口腔外科

 

■ オンライン予約

24時間いつでもご予約いただけます。
👉 https://reservation.stransa.co.jp/1c656ed176dfb196b99ff1ec55f9d609/reserve/select-menu

カテゴリー: 小児矯正 / 予防歯科 / こども矯正
メタディスクリプション:
兵庫県明石市のハローこどもファミリー歯科による【反対咬合】早期矯正症例。マ

イオブレイスを併用し、成長期のあごの発育を活かして受け口を改善。7歳男児・治療期間24ヶ月の症例経過を紹介。

初診「個別」相談へのご案内

当院では、患者さんが抱えていらっしゃるお口のお悩みや疑問・不安などにお応えする機会を設けております。どんなことでも構いませんので、私たちにお話ししていただけたらと思います。
ご興味がある方は下記からお問い合わせください。

お電話でのご予約・お問い合わせ

050-1722-9248

こどもの歯並び相談 24時間WEB予約

〒674-0072
兵庫県明石市魚住町長坂寺287-3