キービジュアル

【上顎前突】早期矯正|10歳8か月男児|治療期間24ヶ月

2026年1月27日

みなさんこんにちは。
兵庫県明石市魚住町、西江井ヶ島駅から徒歩6分、
こどもの矯正に強い明石市の歯医者、ハローこどもファミリー歯科です。

今回は、「上の前歯が出ているのが気になる」
という保護者の方のご相談をきっかけにスタートした、
10歳8か月の男の子の上顎前突(じょうがくぜんとつ)早期矯正症例をご紹介します。

 

■来院のきっかけ・初診時の状態

「上の前歯が前に出てきている気がする」
「このまま成長すると、もっと目立つのでは…」
と心配になり、ご来院されました。

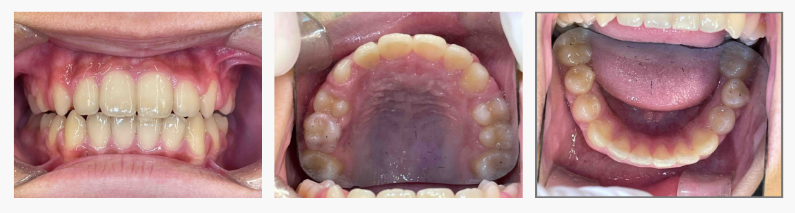
初診時の状態

・上の前歯が前方に突出している

・口を閉じにくく、前歯が目立ちやすい

・成長期に入り、今後さらに前突が強くなる可能性

“これからの成長次第で、見た目・噛み合わせの両面に影響が出やすい状態”でした。

 

■診断名・初診時の状態

診断名:上顎前突(じょうがくぜんとつ)

初診時の診察では、

・上顎の前歯が前方へ傾斜

・口元が突出して見えやすい

・噛み合わせのバランスが崩れやすい状態

などの所見があり、
歯並びだけでなく、成長方向や口元のバランスにも配慮が必要な状態でした。

 

■治療内容:マイオブレイス(MRC矯正)

治療では、
【マイオブレイス(筋機能矯正装置)】を使用しました。

マイオブレイスは歯を無理に動かすのではなく、

・舌の正しい位置

・口呼吸から鼻呼吸への改善

・口周りの筋肉バランス

・あごの成長方向の誘導

を整えることで、歯並びを根本から改善する矯正です。

 

10歳8か月という時期は、

・上顎の成長をコントロールしやすい

・前歯の角度改善が期待できる

・将来の本格矯正を軽減できる可能性

があるため、成長を活かした治療方針としました。

 

■ 治療の流れ

【治療期間】

2023年10月〜2025年10月(24ヶ月)
※基本的に月1回の通院で経過を確認しました。

 

① マイオブレイス装着開始

日中1〜2時間+就寝時の装着からスタートし、
まずは装置に慣れることを大切にしました。

 

② 口腔筋機能トレーニング(MFT)

毎月の来院で、

・舌の正しい位置(スポットポジション)

・鼻呼吸の習慣化

・正しい飲み込み方

・姿勢への声かけ

を行い、歯並びを支える“機能”を整えました。

 

③ 生活習慣・癖の改善サポート

治療が進むにつれ、

・口が閉じやすくなった

・前歯の突出感がやわらいできた

といった変化が見られました。

 

④ 定期観察と微調整

成長や歯の生え変わりに合わせて、
装置やトレーニング内容を調整しました。

 

▼ Before(治療前)

 

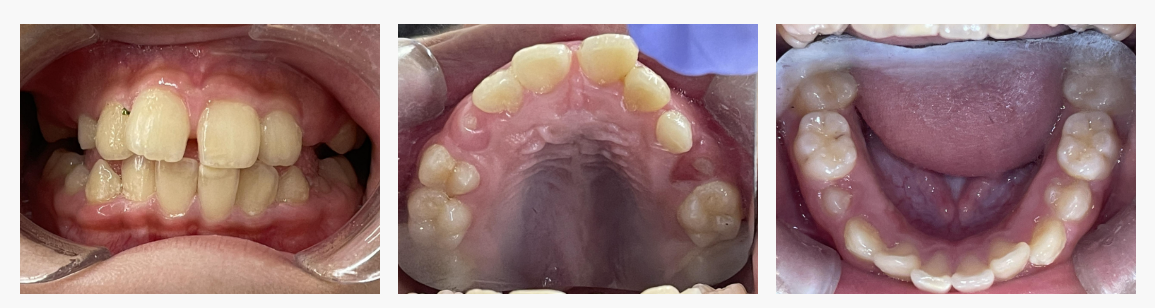
▼ After(治療後)

 

 

■ 治療の結果

成長期を活かした治療により、

・上の前歯の突出感が軽減

・口元のバランスが改善

・噛み合わせが安定しやすい状態

となりました。

歯を強制的に動かさず、成長と機能を整えることで得られた結果です。

 

■担当医コメント(監修:院長 岨 卓与)

10歳前後は、前歯の位置やあごの成長に影響を与えられる最後の時期です。
今回はしっかり装置を使い、トレーニングに取り組んでくれたことで、
成長を最大限に活かすことができました。

上顎前突は、呼吸・舌の癖・口周りの筋肉が大きく関係するため、

機能面からのアプローチがとても重要です。

 

■保護者の方へ

上顎前突は、

「そのうち自然に治るのでは?」
「永久歯がそろってからでいいのでは?」

と思われがちですが、成長期だからこそ改善しやすい不正咬合です。

見た目だけでなく、将来の噛み合わせや安定性まで考えた矯正をご提案しています。

 

■費用

こどもの矯正(8歳以上):582,780円(税込)
※装置代・調整料を含みます
※装置の紛失・破損時は別途費用が発生する場合があります

 

■副作用・リスク

装置の違和感/装着時間不足による効果減弱/成長差による治療効果の個人差 などがあります。
気になる点があれば、いつでもご相談ください。

 

■オンライン予約

24時間いつでもWeb予約が可能です。
👉 https://reservation.stransa.co.jp/1c656ed176dfb196b99ff1ec55f9d609/reserve/select-menu

カテゴリー:小児矯正 / 予防歯科 / こども矯正

メタディスクリプション:
兵庫県明石市のハローこどもファミリー歯科による【上顎前突】早期矯正症例。

マイオブレイスを使用し、成長期のあごの発育を活かして前歯の突出を改善。

10歳男児、治療期間24ヶ月の治療経過を紹介。

初診「個別」相談へのご案内

当院では、患者さんが抱えていらっしゃるお口のお悩みや疑問・不安などにお応えする機会を設けております。どんなことでも構いませんので、私たちにお話ししていただけたらと思います。
ご興味がある方は下記からお問い合わせください。

お電話でのご予約・お問い合わせ

050-1722-9248

こどもの歯並び相談 24時間WEB予約

〒674-0072
兵庫県明石市魚住町長坂寺287-3