キービジュアル

【叢生・上顎前突】矯正|11歳男児|治療期間24ヶ月

2025年12月26日

みなさんこんにちは。
兵庫県明石市魚住町、西江井ヶ島駅から徒歩6分、こどもの矯正に強い明石市の歯医者、

ハローこどもファミリー歯科です。

今回は、メンテナンスで通院されていた歯科医院で
「そろそろ歯並びを見てもらった方がいいかも」
と声をかけられたことをきっかけに当院へ相談に来られた、

11歳男児の 叢生(ガタガタ)・上顎前突 の矯正症例をご紹介します。

混合歯列期に合わせて マイオブレイス矯正 を行い、あご本来の成長力を引き出しながら歯列を整えていったケースです。

 

◆ 診断名・初診時の状態

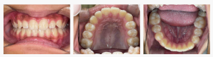
診断名:叢生(そうせい)・上顎前突

初診時の診察では、

・上の前歯が前に出ている(上顎前突)
・前歯が並ぶスペース不足によるガタガタ(叢生)
・口呼吸傾向があり、舌が低い位置にある
・口周りの筋肉バランスが弱く、歯列に影響が出やすい
などの所見があり、歯並び+機能面の問題 が組み合わさった状態でした。

 

◆ 治療内容:マイオブレイス(MRC矯正)

マイオブレイスは、歯を無理に動かすのではなく、
呼吸・舌の位置・お口の筋肉のバランスを整え、あごの成長方向を正しく導く矯正 です。

11歳での開始は、通常であれば遅すぎるのですが、永久歯のはえ変わりが遅かったことで、

改善する可能性があったので治療開始しました。

 

◆ 治療の流れ(2023年10月〜2025年10月 / 約24ヶ月)

【治療期間】
2023年10月〜2025年10月(約24ヶ月)

マイオブレイス装着開始
 日中1時間+就寝時の装着を習慣化。まずは装置に慣れることからスタートしました。

口腔筋トレーニング(MFT)
 毎月のトレーニングで、
 ・舌のスポットポジション
 ・鼻呼吸の習慣化
 ・正しい飲み込み方
 ・姿勢改善
 などを指導し、歯並びを支える“機能”を整えていきました。

生活習慣・癖の改善サポート
 開始から半年ほどで、
 「口が閉じやすくなった」「寝ている時の口呼吸が減った」
 などの変化が見られました。

定期観察と微調整
 成長・歯の生え変わりに合わせて装置やトレーニング内容を調整し、後戻りしにくい状態を作りました。

 

▼ Before(治療前)

 

 

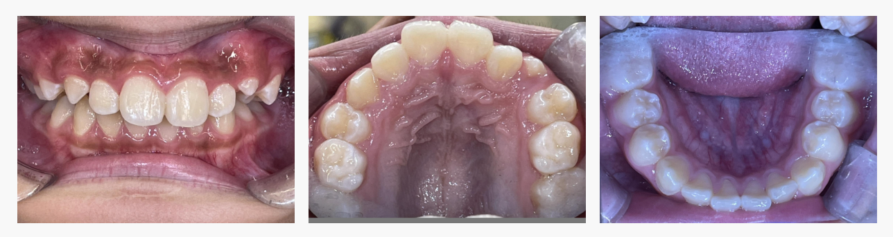
▼ After(治療後)

 

 

 

◆ 治療の結果

マイオブレイスによる機能改善と成長誘導により、

・ガタガタの改善
・上の前歯の突出の軽減
・口元のバランス改善
・鼻呼吸の定着、正しい舌位置の獲得

 

など、多面的な改善がみられました。

歯を強制的に動かすのではなく、お子さま自身の成長力を活かす小児矯正ならではの良好な結果です。

 

◆ 担当医コメント(監修:院長 岨 卓与)

11歳は永久歯列へ移行する終盤ですが、装置の継続使用とトレーニングにしっかり取り組んでくれたことで、

あごの成長を最大限に活かすことができました。

口呼吸や舌癖が残ったまま大人になると、歯並びの後戻りや噛み合わせの不安定さにつながることもあります。
今回のように 呼吸や筋機能から整える矯正 は、長期的な安定にも非常に効果的です。

 

◆ 保護者の方へ

叢生(ガタガタ)や上顎前突は、
「永久歯が生えそろってから矯正した方がいいのでは?」
と考えられがちですが、実は 成長が残っている時期こそ改善しやすい問題 です。

また歯並びは、

・口呼吸
・舌の癖
頬・唇の筋肉の使い方
といった お口の機能 によって大きく左右されます。

 

当院では、見た目の改善だけでなく、呼吸・姿勢・生活習慣まで含めてサポートし、

将来にわたって安定した歯並びをめざします。

気になる方は、いつでも無料相談をご利用ください。

 

◆ 費用

こどもの矯正:582,780円(税込)
(8歳以上でのスタートの場合)

※装置の紛失・破損時は別途費用が発生する場合があります。

 

◆ 副作用・リスク

装置の違和感/顎関節の負担/歯根吸収/後戻り/継続的な装着の必要性 などがあります。
気になる症状があれば、いつでもご相談ください。

 

◆ 監修医

院長 :岨 卓与(そわ たくよ)

 

◆ 医院情報

ハローこどもファミリー歯科
兵庫県明石市魚住町長坂寺287-3(ハローズ魚住店 敷地内)
山陽電鉄「西江井ヶ島駅」徒歩6分

 

◆ オンライン予約

24時間いつでもWeb予約が可能です。
👉 https://reservation.stransa.co.jp/1c656ed176dfb196b99ff1ec55f9d609/reserve/select-menu

カテゴリー: 小児矯正 / 予防歯科 / こども矯正

メタディスクリプション:
兵庫県明石市のハローこどもファミリー歯科による【叢生・上顎前突】矯正症例。

マイオブレイスを使用し、成長期のあごの発育を活かして叢生と上顎前突を改善。

11歳男児、治療期間24ヶ月の治療経過を紹介。

初診「個別」相談へのご案内

当院では、患者さんが抱えていらっしゃるお口のお悩みや疑問・不安などにお応えする機会を設けております。どんなことでも構いませんので、私たちにお話ししていただけたらと思います。
ご興味がある方は下記からお問い合わせください。

お電話でのご予約・お問い合わせ

050-1722-9248

こどもの歯並び相談 24時間WEB予約

〒674-0072
兵庫県明石市魚住町長坂寺287-3