キービジュアル

【叢生】早期矯正|6歳女児|治療期間24ヶ月

2025年12月26日

みなさんこんにちは。
兵庫県明石市魚住町、西江井ヶ島駅から徒歩6分、こどもの矯正に強い明石市の歯医者、

ハローこどもファミリー歯科です。

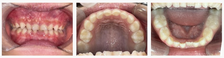
今回は、「これからの歯並びが心配」と来院された 6歳女児・叢生(ガタガタ) に対する早期矯正治療をご紹介します。
歯がきれいに並ぶためには “あごのスペース” が大きく関わるため、混合歯列期での早期介入はとても重要です。

 

◆ 来院のきっかけと初診時の様子

お母さまからは、
「これからの歯並びが心配で、永久歯がきれいに並ぶか不安」とのご相談がありました。

初診時の診察では、

・あごの大きさに対して永久歯が生えるスペースが不足
・将来的にガタガタが強くなる可能性
が認められ、典型的な 叢生(歯の重なり・乱れ) の兆候がありました。

このまま経過すると歯列の乱れが進行し、将来的に抜歯矯正が必要になるリスクも高いため、

早期介入が望ましい状態でした。

 

◆ 診断名・治療方針

診断名:叢生(そうせい)

6〜8歳頃は、あごの成長を大きく促せる【ゴールデンタイム】です。
当院では、以下の2つを組み合わせた治療方針をご提案しました。

 

① 拡大床(かくだいしょう)

・あごの幅を広げる
・永久歯が並ぶスペースを確保
・歯を抜かずに治療するための“土台づくり”

 

② マイオブレイス(筋機能矯正)

・舌の位置改善(低位舌は叢生の原因のひとつ)
鼻呼吸の習得
・正しい嚥下や姿勢の獲得
・後戻り予防に効果的

 

 

叢生はスペース不足だけでなく、口呼吸・舌の位置・姿勢 といった機能的な問題も深く関与するため、

装置と機能面の両方から治療を行うことが重要です。

 

◆ 治療の流れ(2021年8月〜2023年8月 / 約24ヶ月)

【治療期間】
2021年8月〜2023年8月(約24ヶ月)

拡大床によるスペースづくり
 治療開始から数ヶ月は、上あごの幅を段階的に広げ、永久歯が並ぶためのスペースをつくりました。
 痛みが少なくなるよう、無理のないペースで調整を行い、歯並びの“土台”を整えました。

マイオブレイス装着開始(機能改善トレーニング併用)
 夜間と日中1時間の装着を習慣化し、装置の扱いに慣れるところからスタート。
 同時に、舌のスポットポジション練習、鼻呼吸、姿勢・飲み込み方のトレーニングも行い、

 歯並びを支える機能面の改善を進めました。

口腔筋トレーニングの継続
 舌の位置、唇を閉じる力、飲み込みの癖など、筋機能を整えるトレーニングを継続して実施。
 歯列が自然と整いやすい環境をつくることに繋がりました。

定期観察と調整
 1ヶ月毎の通院で、歯の萌出状況や成長、筋機能のバランスを確認。
 必要に応じて装置やトレーニング内容を適宜調整し、後戻りしにくい安定した環境を維持しました。

 

▼ Before(治療前)

 

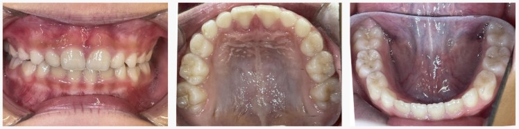
▼ After(治療後)

 

 

 

◆ 治療の結果

治療終了時には、

・永久歯が並ぶスペースが十分に確保
・歯列のアーチが整い、バランスの良い歯並びへ改善
・口呼吸や舌の位置などの習癖も改善

 

見た目だけでなく、機能面でも良好な変化が得られました。
早期に介入できたことで、将来抜歯をせずに矯正を進められる可能性が高くなったケースです。

 

◆ 担当医コメント(監修:院長 岨 卓与)

叢生(ガタガタ)は、あごの大きさ・舌の位置・呼吸・姿勢など、複数の要素が絡み合って起こる不正咬合です。
6歳前後はあごの成長が活発な時期で、スペースを確保しやすい非常に良いタイミングです。

拡大床とマイオブレイスの併用は、装置+機能改善 の両面からアプローチでき、より安定した仕上がりを期待できます。

 

◆ 保護者の方へ

・「永久歯がガタガタになりそうで心配」
・「あごが小さい気がする」

 

そんな不安がある場合は、早めのチェックがおすすめです。
成長が大きく関わるため、小学生低学年の時期は最も治療効果が出やすい時期です。

当院では、お子さまに負担の少ない治療計画と、成長に合わせた丁寧な経過観察を行っていますので、

いつでも気軽にご相談ください。

 

◆ 費用

こどもの矯正:527,780円(税込)
※7歳以下スタートの場合

 

◆ 副作用・リスク

装置の違和感/顎関節の負担/歯根吸収/後戻り などがあります。
適切な使用と定期的な管理でリスクを軽減できます。

 

◆ 監修医・医院情報

監修:院長 岨 卓与(そわ たくよ)

ハローこどもファミリー歯科
兵庫県明石市魚住町長坂寺287-3(ハローズ魚住店の敷地内)
山陽電鉄「西江井ヶ島駅」徒歩6分
診療科目:小児歯科/小児矯正/親子予防歯科/口腔外科

👉 オンライン予約はこちら
https://reservation.stransa.co.jp/1c656ed176dfb196b99ff1ec55f9d609/reserve/select-menu

カテゴリー: 小児矯正 / 予防歯科 / こども矯正

メタディスクリプション:
兵庫県明石市のハローこどもファミリー歯科による【叢生】早期矯正症例。拡大床とマイオブレイスを併用し、

成長期のあごの発育を活かして叢生を改善。6歳女児、治療期間24ヶ月の治療経過を紹介。

初診「個別」相談へのご案内

当院では、患者さんが抱えていらっしゃるお口のお悩みや疑問・不安などにお応えする機会を設けております。どんなことでも構いませんので、私たちにお話ししていただけたらと思います。
ご興味がある方は下記からお問い合わせください。

お電話でのご予約・お問い合わせ

050-1722-9248

こどもの歯並び相談 24時間WEB予約

〒674-0072
兵庫県明石市魚住町長坂寺287-3