キービジュアル

【前突】早期矯正|8歳女児|治療期間24ヶ月

2025年12月4日

みなさんこんにちは☺
兵庫県明石市魚住町、西江井ヶ島駅から徒歩6分、こどもの矯正に強い明石市の歯医者

ハローこどもファミリー歯科です。

今回は、「検診で出っ歯気味と指摘された」とのことでご相談いただいた、8歳女児の

【前突(ぜんとつ)】の症例をご紹介します。

 

■ 来院のきっかけと初診時の様子

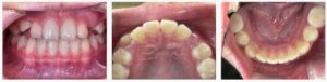
学校の歯科検診で「上の前歯が出ている」と指摘を受け、お母さまがご心配になり来院されました。
診察時、上の前歯が前方に突出しており、下唇が歯に引っかかるような状態で、

口を閉じるときに力を入れないと唇が閉じにくい様子でした。

また、口呼吸の傾向もみられ、鼻呼吸がしにくい習慣が続くとあごの発育や歯並びに影響が出る可能性がありました。
そこで、成長期のうちに筋肉バランスとあごの成長を整える早期矯正を提案しました。

 

■ 診断・治療方針

診断名は【前突】
原因は、上あごの成長が強いことに加えて、舌の位置や唇の力の使い方にアンバランスがあることが考えられました。

当院では、【マイオブレイス(Myobrace)】を用いた早期矯正を計画。
マイオブレースは「装置+筋機能トレーニング」により、呼吸・舌・唇の使い方を整えることで、

自然な成長を利用して歯列を改善する方法です。
抜歯をせずに、あごの成長を正しい方向へ導くことを目的としました。

 

治療の流れと使用装置

【治療期間】

2023年8月〜2025年8月(約24ヶ月)

 

1.初期段階:装置装着に慣れる時期

 まずは夜間と日中1時間の装着からスタート。
 装置をつけることに慣れながら、鼻呼吸を意識するトレーニングを実施しました。

 

2.中期段階:筋機能トレーニングの定着
 舌を正しい位置に置く練習や、唇を自然に閉じる力を養う練習を続けました。
 同時に、姿勢や呼吸の確認も行い、体全体のバランスを整えていきました。

 

3.後期段階:咬み合わせの安定・仕上げ
 前歯の突出が改善され、咬み合わせが安定した状態を確認。
 装置のサイズを変更し、最終的な位置を保つよう調整を行いました。

 

 

▼Before(治療前)

 

 

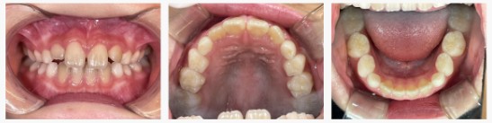
▼After(治療後)

 

■ 治療の結果

治療を終える頃には、上の前歯の突出が改善し、自然に口を閉じられるようになりました。
横顔のバランスも整い、笑顔の印象がより柔らかくなりました。

また、口呼吸が減り、舌の位置も安定。
「口が開いていることが減りました」とお母さまからも嬉しいお声をいただきました。
お子さまご本人も「装置が慣れてきたら寝るときも平気!」と、前向きに治療を続けてくれました。

 

■ 担当医コメント(監修:院長 岨 卓与)

前突(出っ歯)の多くは、筋肉や呼吸の使い方が原因で起こります。
特にお子さまの成長期では、あごや顔の骨がまだ柔軟なため、早めに筋機能を整えることが非常に効果的です。

今回の症例のように、マイオブレイスを用いた治療では、歯の位置だけでなく、

成長の方向や全身の姿勢まで含めた改善が期待できます。
ご家庭での装置使用やトレーニングのご協力が、良好な結果につながりました。

 

■ 保護者の方へ

お子さまの「出っ歯」「口が閉じにくい」といった症状は、早めのご相談が大切です。
成長を味方につけることで、将来的にワイヤー矯正や抜歯を避けられる可能性が高まります。

当院では、無理のないペースでの治療と、丁寧な説明を心がけています。
気になる歯並びや口元がある場合は、どうぞお気軽にご相談ください。

 

■ 副作用・リスクについて

装置の装着による違和感、顎関節の痛み、歯根吸収、後戻りの可能性などがあります。
定期的な通院と正しい使用で、これらのリスクを最小限に抑えることが可能です。

 

■ 費用

こどもの矯正:582,780円(税込・8歳以上スタートの場合)

 

■ 監修医・医院情報

監修/院長:岨 卓与(そわ たくよ)
ハローこどもファミリー歯科
〒674-0074
兵庫県明石市魚住町長坂寺287-3(ハローズ魚住店の敷地内)
山陽電鉄「西江井ヶ島駅」徒歩6分

診療科目:小児歯科・小児矯正・親子予防歯科・口腔外科

👉 ハローこどもファミリー歯科 Web予約(Apotool & Box for Dentist)

カテゴリー: 小児矯正 / 予防歯科 / こども矯正
メタディスクリプション:

兵庫県明石市のハローこどもファミリー歯科による【前突(出っ歯)】早期矯正の症例紹介。

マイオブレイスによる筋機能トレーニングで成長期のあごの発育を整え、口元の突出を改善。

8歳女児、治療期間24ヶ月の経過を解説。

初診「個別」相談へのご案内

当院では、患者さんが抱えていらっしゃるお口のお悩みや疑問・不安などにお応えする機会を設けております。どんなことでも構いませんので、私たちにお話ししていただけたらと思います。
ご興味がある方は下記からお問い合わせください。

お電話でのご予約・お問い合わせ

050-1722-9248

こどもの歯並び相談 24時間WEB予約

〒674-0072
兵庫県明石市魚住町長坂寺287-3