キービジュアル

【反対咬合】早期矯正|7歳女児|治療期間24ヶ月

2025年12月4日

みなさんこんにちは。
兵庫県明石市魚住町、西江井ヶ島駅から徒歩6分、こどもの矯正に強い明石市の歯医者、

ハローこどもファミリー歯科です。

今回は、「受け口(反対咬合)」を心配して来院された7歳の女の子の症例をご紹介します。

 

■ 来院のきっかけと初診時の様子

お母さまから「下の前歯が前に出てきていて、このままでは受け口になりそうで心配」とご相談をいただきました。
初診時は、上下の前歯が反対に咬み合う**反対咬合(受け口)**の状態で、あごの前方成長がやや強く、

将来的に骨格性の受け口へと進行するリスクがありました。

 

■ 診断・治療方針

診断名は【反対咬合】
この年齢(混合歯列期)は、あごの成長をコントロールしやすい大切な時期です。
当院では、拡大床による上顎の発育促進と、マイオブレイスによる筋機能トレーニングを組み合わせた

早期矯正治療を計画しました。

 

目的は、

・上下のあごのバランスを整える

 

・舌や口周りの筋肉の使い方を改善する

 

・将来的な外科矯正を避ける

 

ことです。

 

■ 治療の流れと使用装置

【治療期間】

2021年7月〜2023年7月(約24ヶ月)

まずは拡大床装置を使い、上あごの幅を少しずつ広げていきました。
その後、マイオブレイスを用いて口呼吸・舌の位置・唇の閉じ方などをトレーニング。
定期的に来院し、装置の調整と筋機能のチェックを行いました。

 

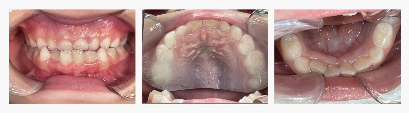
▼Before(治療前)

 

▼After(治療後)

 

■ 治療の結果

治療終了時には、上下の前歯の咬み合わせが改善し、自然で調和のとれた笑顔になりました。
上あごの成長が促され、口元全体のバランスも整いました。
保護者の方からも「見た目がきれいになっただけでなく、発音もしやすくなったようです」と

うれしいお声をいただきました。

 

■ 担当医コメント(監修:院長 岨 卓与)

反対咬合は、見た目の問題だけでなく、発音や食事、あごの成長方向にも影響することがあります。
7歳前後の混合歯列期に開始することで、骨格や筋肉の成長を自然な方向へ導くことができます。
マイオブレイスのような「トレーニング型矯正」は、装置だけに頼らず、お子さん自身の力を引き出す点が大きな特徴です。

 

■ 保護者の方へ

「受け口」は自然になおることは少なくて、成長とともに悪化してしまうケースも少なくありません。
気になる場合は、早めに小児矯正を行っている歯科医院へご相談ください。
当院では、無理のないペースでの治療提案と、成長に合わせた経過観察を大切にしています。

 

■ 副作用・リスクについて

装置の装着による違和感、顎関節の痛み、歯根吸収、後戻りの可能性などがあります。
いずれも適切な調整と定期管理で最小限に抑えることが可能です。

 

■ 費用

こどもの矯正:527,780円(税込・7歳以下スタートの場合)

 

監修医・医院情報

監修/院長:岨 卓与(そわ たくよ)
ハローこどもファミリー歯科
〒674-0074
兵庫県明石市魚住町長坂寺287-3(ハローズ魚住店の敷地内)
山陽電鉄「西江井ヶ島駅」徒歩6分

診療科目:小児歯科・小児矯正・親子予防歯科・口腔外科

👉 オンライン予約ページへ

カテゴリー: 小児矯正 / 予防歯科 / こども矯正
メタディスクリプション:
兵庫県明石市のハローこどもファミリー歯科による【反対咬合】早期矯正症例。拡大床とマイオブレイスを併用し、

成長期のあごの発育を活かして受け口を改善。7歳女児、治療期間24ヶ月の経過を紹介。

初診「個別」相談へのご案内

当院では、患者さんが抱えていらっしゃるお口のお悩みや疑問・不安などにお応えする機会を設けております。どんなことでも構いませんので、私たちにお話ししていただけたらと思います。
ご興味がある方は下記からお問い合わせください。

お電話でのご予約・お問い合わせ

050-1722-9248

こどもの歯並び相談 24時間WEB予約

〒674-0072
兵庫県明石市魚住町長坂寺287-3