キービジュアル

【上顎前突・叢生】早期矯正|7歳男児|治療期間24ヶ月

2026年2月27日

みなさんこんにちは。
兵庫県明石市魚住町、西江井ヶ島駅から徒歩6分、
こどもの矯正に強い明石市の歯医者、ハローこどもファミリー歯科です。

今回は、「矯正してほしい」というご相談をきっかけにスタートした、
7歳男の子の上顎前突・叢生の早期矯正症例をご紹介します。

 

来院のきっかけ・初診時の状態

前歯が前に出てきていることが気になり、
「今のうちに矯正したほうがいいのでは」と考え、ご来院されました。

 

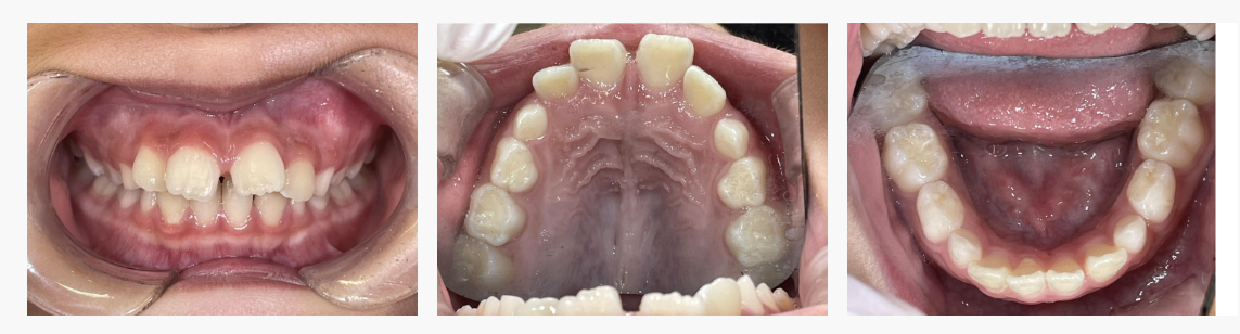
初診時の状態

・上の前歯が前方に突出している

・前歯の並びにガタつきがみられる

・このまま成長すると叢生が強くなる可能性

成長期に入り始めたタイミングで、歯並びが乱れやすい状態でした。

 

◆ 診断名・初診時の状態

診断名:上顎前突(じょうがくぜんとつ)、叢生(そうせい)

初診時の診察では、

・上顎前歯の前方傾斜

・将来的にガタガタが進行する可能性

などの所見があり、
見た目の問題だけでなく、成長方向を整える必要があるケースでした。

 

◆ 治療内容:プレオルソとマイオブレイス(MRC矯正)

今回の治療では、
プレオルソとマイオブレイス(筋機能矯正装置)を使用しました。

単に歯を並べるのではなく、

・舌の正しい位置づけ

・鼻呼吸の習慣化

・口周りの筋肉バランスの改善

・顎の成長誘導

を目的とした治療です。

7歳という成長が大きく関わる時期に、
機能面から整えることで将来的な安定を目指しました。

 

◆ 治療の流れ

【治療期間】

2023年11月〜2025年11月(24ヶ月)
※基本的に月1回の通院で経過を確認しました。

 

①プレオルソ、 マイオブレイス装着開始

日中1時間+就寝時の装着からスタートし、
無理なく習慣化できるようサポートしました。

 

② 口腔筋機能トレーニング(MFT)

毎月の来院で、

・舌のスポットポジション

・正しい飲み込み方

・姿勢や呼吸の確認

を行い、歯並びを支える“土台”を整えました。

 

③ 定期観察と微調整

成長や歯の生え変わりに合わせて、
装置やトレーニング内容を調整しました。

 

▼ Before(治療前)

 

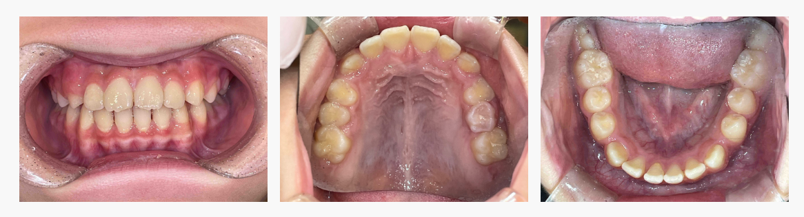
▼ After(治療後)

 

◆ 治療の結果

マイオブレイスとプレオルソによる成長誘導と機能改善により、

・前歯の突出感が軽減

・歯並びのガタつきが改善

・将来的に安定しやすい噛み合わせへ

といった変化がみられました。

成長期だからこそ可能な改善です。

 

◆ 担当医コメント(監修:院長 岨 卓与)

7歳は顎の望ましくない成長を修正できる可能性がある大切な時期です。
このタイミングで機能から整えることで、
将来の本格矯正(Ⅱ期治療)を軽くできる可能性があります。

歯並びは舌・呼吸・姿勢と深く関係しています。
早期から整えることが、長期的な安定につながります。

 

◆ 保護者の方へ

「まだ早いのでは?」と迷われることもありますが、
早いからこそできる矯正があります。

成長を味方につけることで、
お子さまへの負担を抑えながら改善を目指すことが可能です。

 

◆ 費用

こどもの矯正(7歳以下):527,780円(税込)
※装置代・調整料を含みます
※装置の紛失・破損時は別途費用が発生する場合があります

 

◆ 副作用・リスク

装置の違和感/装着時間不足による効果減弱/成長差による治療効果の個人差 などがあります。
気になる点があれば、いつでもご相談ください。

 

◆ オンライン予約

24時間いつでもWeb予約が可能です。
👉 https://reservation.stransa.co.jp/1c656ed176dfb196b99ff1ec55f9d609/reserve/select-menu

カテゴリー小児矯正 / 予防歯科 / こども矯正

メタディスクリプション:
兵庫県明石市のハローこどもファミリー歯科による【上顎前突・叢生】早期矯正症例。

マイオブレイスを使用し、成長期の機能改善を重視した治療で前歯の突出と歯列の乱れを改善。

7歳男児、治療期間24ヶ月の治療経過を紹介。

初診「個別」相談へのご案内

当院では、患者さんが抱えていらっしゃるお口のお悩みや疑問・不安などにお応えする機会を設けております。どんなことでも構いませんので、私たちにお話ししていただけたらと思います。
ご興味がある方は下記からお問い合わせください。

お電話でのご予約・お問い合わせ

050-1722-9248

こどもの歯並び相談 24時間WEB予約

〒674-0072
兵庫県明石市魚住町長坂寺287-3