キービジュアル

【上顎前突・叢生・口唇閉鎖不全】早期矯正|7歳男児|治療期間24ヶ月

2026年2月28日

みなさんこんにちは。
兵庫県明石市魚住町、西江井ヶ島駅から徒歩6分、
こどもの矯正に強い明石市の歯医者、ハローこどもファミリー歯科です。

今回は、「前歯が出ているのが気になる」というご相談をきっかけにスタートした、

7歳男の子の症例をご紹介します。

 

来院のきっかけ・初診時の状態

上の前歯が前に出てきたことが気になり、
将来的な歯並びを心配されてご来院されました。

 

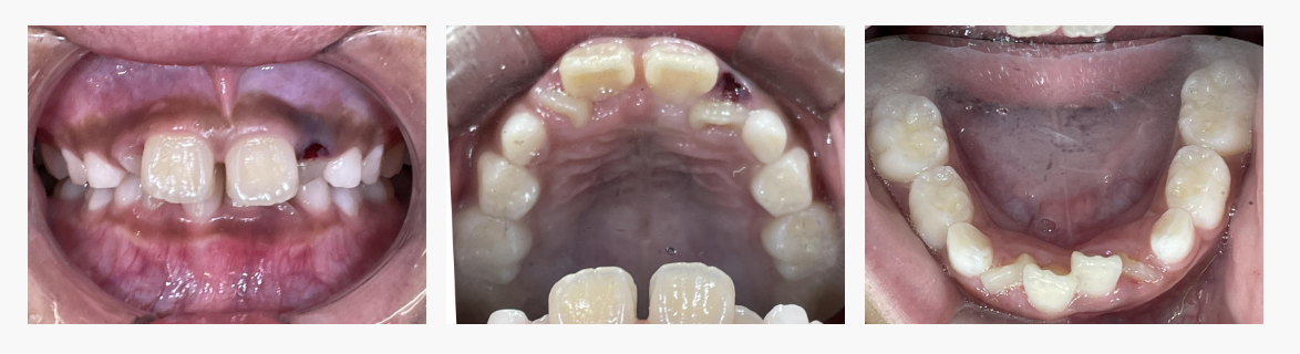
初診時の状態

・上顎前歯の前方突出
・前歯部の叢生
・口唇閉鎖不全(安静時に口が閉じにくい)

歯並びだけでなく、口元の筋機能にも影響が出ている状態でした。

 

◆ 診断名・初診時の状態

診断名:叢生、上顎前突、口唇閉鎖不全

診察では、

・歯が並ぶスペース不足
・上顎前歯の前方傾斜
・口唇を自然に閉じにくい状態

が確認されました。

歯を並べるだけでは口元の問題が残る可能性があり、
成長と機能の両面から整える必要があるケースでした。

 

◆ 治療内容:上下顎拡大後 マイオブレイス

まず上下顎の拡大を行い、
歯が並ぶためのスペースを確保しました。

その後、マイオブレイスを使用し、

・舌の正しい位置
・鼻呼吸の習慣化
・口唇の筋力改善
・あごの成長誘導

を目的とした治療を行いました。

歯並びを整えても口唇閉鎖不全が残る可能性があるため、
機能改善を重視した治療方針としました。

 

◆ 治療の流れ

【治療期間】
2024年1月〜2026年1月(24ヶ月)
※月1回の通院で経過を確認しました。

 

① 上下顎拡大
 少しずつ顎を広げ、歯列の土台を整えました。

 

② マイオブレイス装着開始
 日中1時間+就寝時の装着を継続し、無理なく習慣化しました。

 

③ 口腔筋機能トレーニング
 舌のスポットポジション、正しい飲み込み方、姿勢や呼吸の確認を行いました。

 

④ 成長に合わせた微調整
 歯の生え変わりや顎の成長に合わせて装置を調整しました。

 

▼ Before(治療前)

 

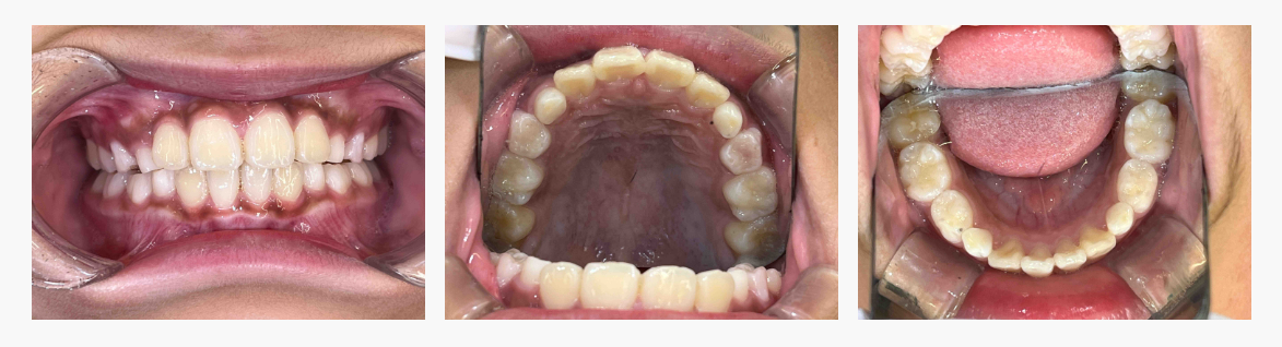
▼ After(治療後)

 

◆ 治療の結果

・前歯の突出感が軽減
・歯列のガタつきが改善
・口唇が自然に閉じやすくなった

歯並びと口元の機能の両面で改善がみられました。

成長期だからこそ可能な変化です。

 

◆ 担当医コメント(監修:院長 岨 卓与)

7歳は顎の成長を正常に誘導していくのに重要な時期です。
このタイミングで機能から整えることで、将来のⅡ期治療を軽減できる可能性があります。

歯並びは、舌・呼吸・姿勢と深く関係しています。
見た目だけでなく、長期的な安定を考えた治療が大切です。

 

◆ 保護者の方へ

前歯の突出や口唇閉鎖不全は、成長とともに目立ってくることがあります。

早期に機能改善を行うことで、将来の矯正の負担を減らせる可能性があります。

気になる段階でのご相談をおすすめしています。

 

◆ 費用

こどもの矯正(7歳以下):527,780円(税込)
※装置代・調整料を含みます
※装置の紛失・破損時は別途費用が発生する場合があります

 

◆ 副作用・リスク

装置の違和感/装着時間不足による効果減弱/成長差による個人差 などがあります。
気になる症状があれば、いつでもご相談ください。

 

◆ オンライン予約

24時間いつでもWeb予約が可能です。
👉 https://reservation.stransa.co.jp/1c656ed176dfb196b99ff1ec55f9d609/reserve/select-menu

カテゴリー:小児矯正 / 予防歯科 / こども矯正

メタディスクリプション:
兵庫県明石市のハローこどもファミリー歯科による

【上顎前突・叢生・口唇閉鎖不全】早期矯正症例。上下顎拡大後マイオブレイスを使用し、

成長期の機能改善を重視した治療で歯並びと口元を改善。

7歳男児、治療期間24ヶ月の経過を紹介。

初診「個別」相談へのご案内

当院では、患者さんが抱えていらっしゃるお口のお悩みや疑問・不安などにお応えする機会を設けております。どんなことでも構いませんので、私たちにお話ししていただけたらと思います。
ご興味がある方は下記からお問い合わせください。

お電話でのご予約・お問い合わせ

050-1722-9248

こどもの歯並び相談 24時間WEB予約

〒674-0072
兵庫県明石市魚住町長坂寺287-3