キービジュアル

2026年2月の記事一覧

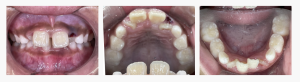
【上顎前突・叢生・口唇閉鎖不全】早期矯正|7歳男児|…

みなさんこんにちは。 兵庫県明石市魚住町、西江井ヶ島駅から徒歩6分、 こどもの矯正に強い明石市の歯医者、ハローこどもファミリー歯科です。 今回は、「前歯が出ているのが気になる」というご相談をきっかけにスタートした、 7歳男の子の症例をご紹介します。   来院のき…

2026.2.28

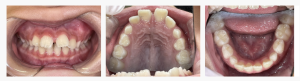
【叢生】早期矯正|7歳女児|治療期間24ヶ月

みなさんこんにちは。 兵庫県明石市魚住町、西江井ヶ島駅から徒歩6分、 こどもの矯正に強い明石市の歯医者、ハローこどもファミリー歯科です。 今回は、「ガタガタしているのが気になる」というご相談をきっかけにスタートした、 7歳女の子の叢生(そうせい)早期矯正症例をご紹介します。 &nb…

2026.2.28

【上顎前突・叢生】早期矯正|7歳男児|治療期間24ヶ…

みなさんこんにちは。 兵庫県明石市魚住町、西江井ヶ島駅から徒歩6分、 こどもの矯正に強い明石市の歯医者、ハローこどもファミリー歯科です。 今回は、「矯正してほしい」というご相談をきっかけにスタートした、 7歳男の子の上顎前突・叢生の早期矯正症例をご紹介します。   …

2026.2.27

初診「個別」相談へのご案内

当院では、患者さんが抱えていらっしゃるお口のお悩みや疑問・不安などにお応えする機会を設けております。どんなことでも構いませんので、私たちにお話ししていただけたらと思います。
ご興味がある方は下記からお問い合わせください。

お電話でのご予約・お問い合わせ

050-1722-9248

こどもの歯並び相談 24時間WEB予約

〒674-0072
兵庫県明石市魚住町長坂寺287-3