キービジュアル

【叢生】早期矯正|7歳女児|治療期間24ヶ月

2026年2月28日

みなさんこんにちは。
兵庫県明石市魚住町、西江井ヶ島駅から徒歩6分、
こどもの矯正に強い明石市の歯医者、ハローこどもファミリー歯科です。

今回は、「ガタガタしているのが気になる」というご相談をきっかけにスタートした、
7歳女の子の叢生(そうせい)早期矯正症例をご紹介します。

 

来院のきっかけ・初診時の状態

下の前歯が重なって生えてきたことをきっかけに、
「このまま永久歯がきれいに並ぶのか心配」と感じ、ご来院されました。

 

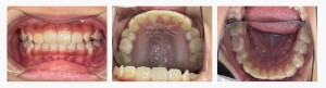
初診時の状態

・下顎前歯部に叢生を認める

・上下ともに歯が並ぶスペースが不足

・今後の成長とともにガタつきが強くなる可能性

このまま経過を見るだけでは、将来的に叢生が悪化する可能性が高い状態でした。

 

◆ 診断名・初診時の状態

診断名:叢生(そうせい)

初診時の診察では、

・上下顎前歯のスペース不足

・顎の成長誘導が必要なタイミング

と判断しました。

単に歯を並べるだけでなく、
成長を活かして土台から整えることが重要なケースでした。

 

◆ 治療内容:マイオブレイス(MRC矯正)

今回の治療では、
マイオブレイス(筋機能矯正装置)を使用しました。

歯を無理に動かすのではなく、

・舌の正しい位置

・鼻呼吸の習慣化

・口周りの筋肉バランスの改善

・顎の成長誘導

を目的とした治療です。

7歳という成長が大きく関与する時期に、
機能面から整えることで将来の歯並びを安定させる方針としました。

 

◆ 治療の流れ

【治療期間】

2023年9月〜2025年10月(25ヶ月)
※基本的に月1回の通院で経過を確認しました。

 

① マイオブレイス装着開始

 日中1時間+就寝時の装着を習慣化し、
 まずは無理なく継続できる環境づくりから始めました。

 

② 口腔筋機能トレーニング(MFT)

 毎月の来院で、

 ・舌のスポットポジション

 ・正しい飲み込み方

 ・呼吸と姿勢の確認

 を行い、歯列を支える“機能”を整えました。

 

③ 定期観察と微調整

 歯の生え変わりや成長に合わせて装置やトレーニング内容を調整し、
 後戻りしにくい状態を目指しました。

 

▼ Before(治療前)

 

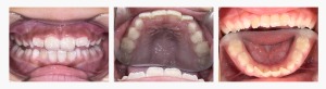
▼ After(治療後)

 

 

◆ 治療の結果

成長期を活かした治療により、

・下顎前歯のガタつきが改善

・永久歯が並ぶスペースを確保

・将来的に安定しやすい噛み合わせへ

といった変化がみられました。

この年齢だからこそ可能な改善です。

 

◆ 担当医コメント(監修:院長 岨 卓与)

7歳は顎の成長を活かせる非常に大切な時期です。
このタイミングで機能から整えることで、
将来のⅡ期治療を軽減できる可能性があります。

歯並びは舌・呼吸・姿勢と深く関係しています。
早期から整えることが、長期的な安定につながります。

 

◆ 保護者の方へ

叢生は「そのうち自然に並ぶのでは?」と思われることもありますが、
スペース不足がある場合は注意が必要です。

小さい今だからこそできる矯正があります。
将来の負担を減らすためにも、気になる段階でのご相談をおすすめしています。

 

◆ 費用

こどもの矯正(7歳以下):527,780円(税込)
※装置代・調整料を含みます
※装置の紛失・破損時は別途費用が発生する場合があります

 

◆ 副作用・リスク

装置の違和感/装着時間不足による効果減弱/成長差による治療効果の個人差 などがあります。
気になる症状があれば、いつでもご相談ください。

 

◆ オンライン予約

24時間いつでもWeb予約が可能です。
👉 https://reservation.stransa.co.jp/1c656ed176dfb196b99ff1ec55f9d609/reserve/select-menu

カテゴリー小児矯正 / 予防歯科 / こども矯正

メタディスクリプション:
兵庫県明石市のハローこどもファミリー歯科による【叢生】早期矯正症例。

マイオブレイスを使用し、成長期の機能改善を重視した治療でガタつきを改善。

7歳女児、治療期間25ヶ月の治療経過を紹介。

初診「個別」相談へのご案内

当院では、患者さんが抱えていらっしゃるお口のお悩みや疑問・不安などにお応えする機会を設けております。どんなことでも構いませんので、私たちにお話ししていただけたらと思います。
ご興味がある方は下記からお問い合わせください。

お電話でのご予約・お問い合わせ

050-1722-9248

こどもの歯並び相談 24時間WEB予約

〒674-0072
兵庫県明石市魚住町長坂寺287-3